★★★★★ 5.0
"Мне нужна была профгигиена, обратилась к Махкамжону Пулатовичу и не пожалела. Давно не делала чистку, искала специалиста, который работает аккуратно и безболезненно. Выбрала этого врача по рекомендации знакомых и положительным отзывам на сайте и ни разу не пожалела. Доктор очень приветливый и внимательный, по ходу работы объяснял свои действия и следил за моим состоянием. Научил меня делать правильный уход за зубами и показал мои проблемные зоны. Однозначно буду рекомендовать!"
+7 919 91XXXXX
📅 Март 2026
📍 Стоматология «Дентал стори»
★★★★★ 5.0
"Обратился в ближайшую клинику за профессиональной чисткой, мне посоветовали этого врача как гигиениста, и я записался на прием. Во время приема врач осмотрел полость рта и начал рассказывать проблемы во рту, и мы начали чистку. Во время чистки врач озвучивал этапы чистки и говорил, на какие моменты во время личной гигиены обращать внимание, остался очень доволен приемом. Спасибо врачу."
+7 911 02XXXXX
📅 Март 2026
📍 Стоматология «Дентал стори»
★★★★★ 5.0
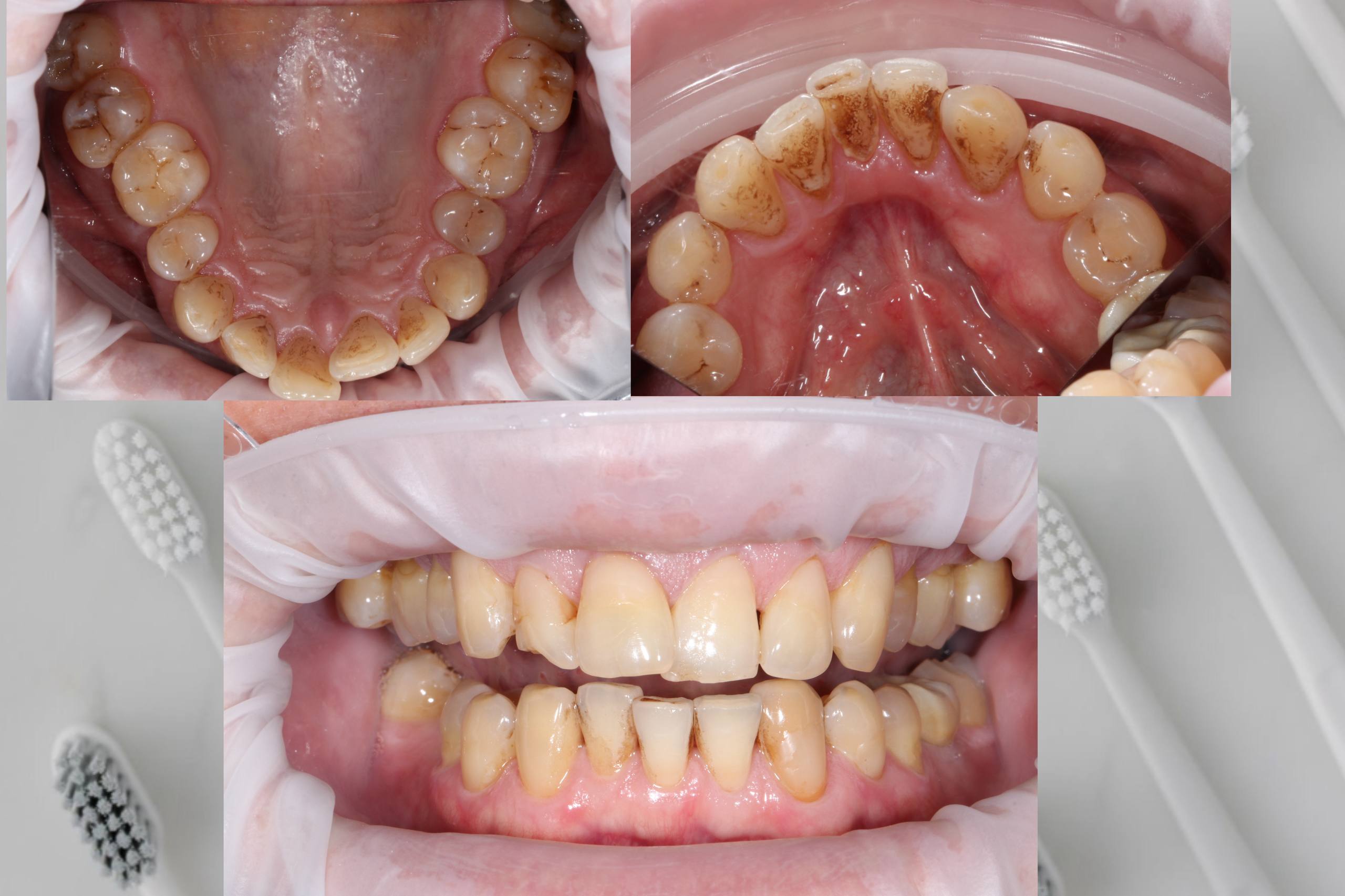
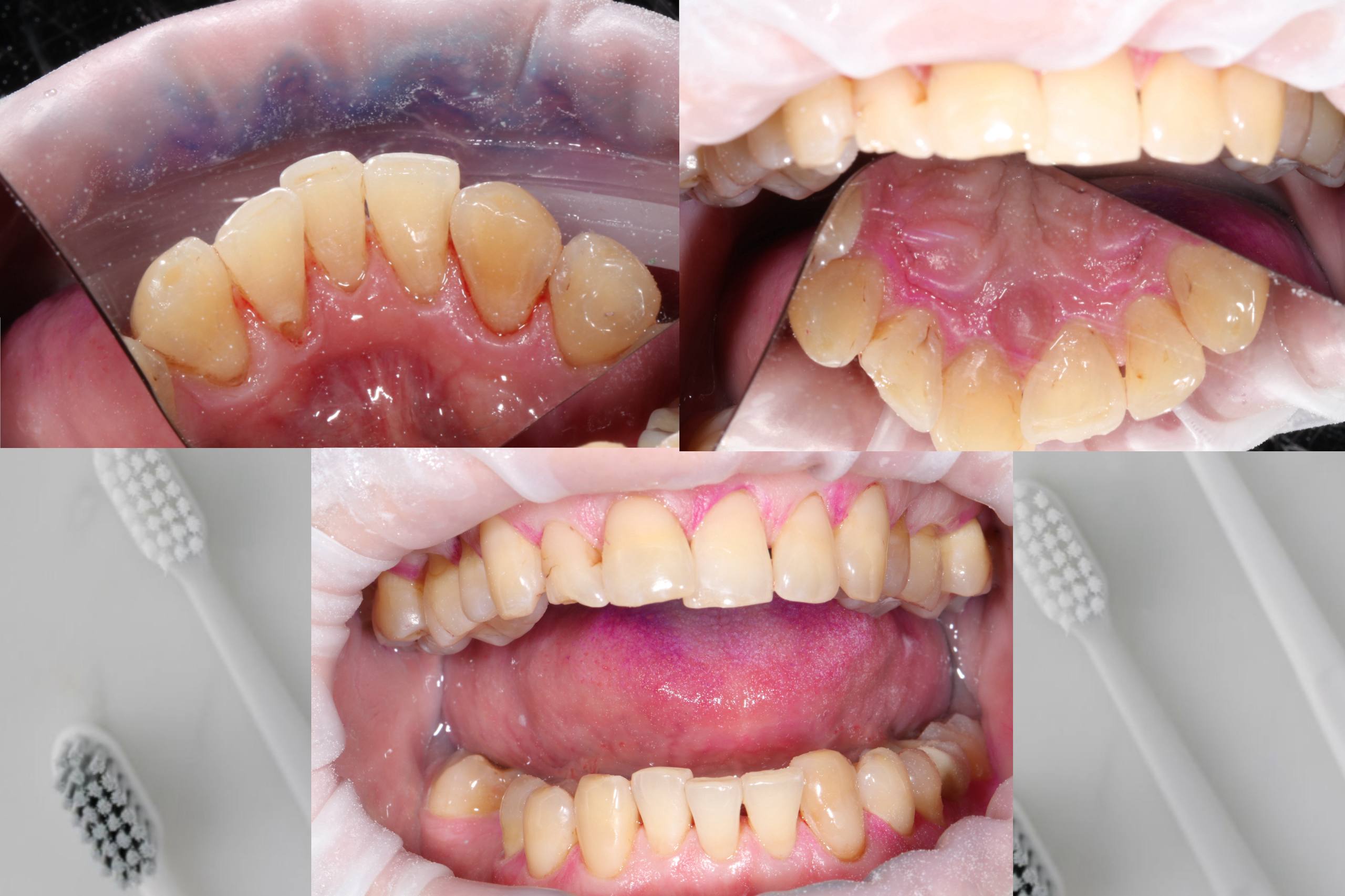
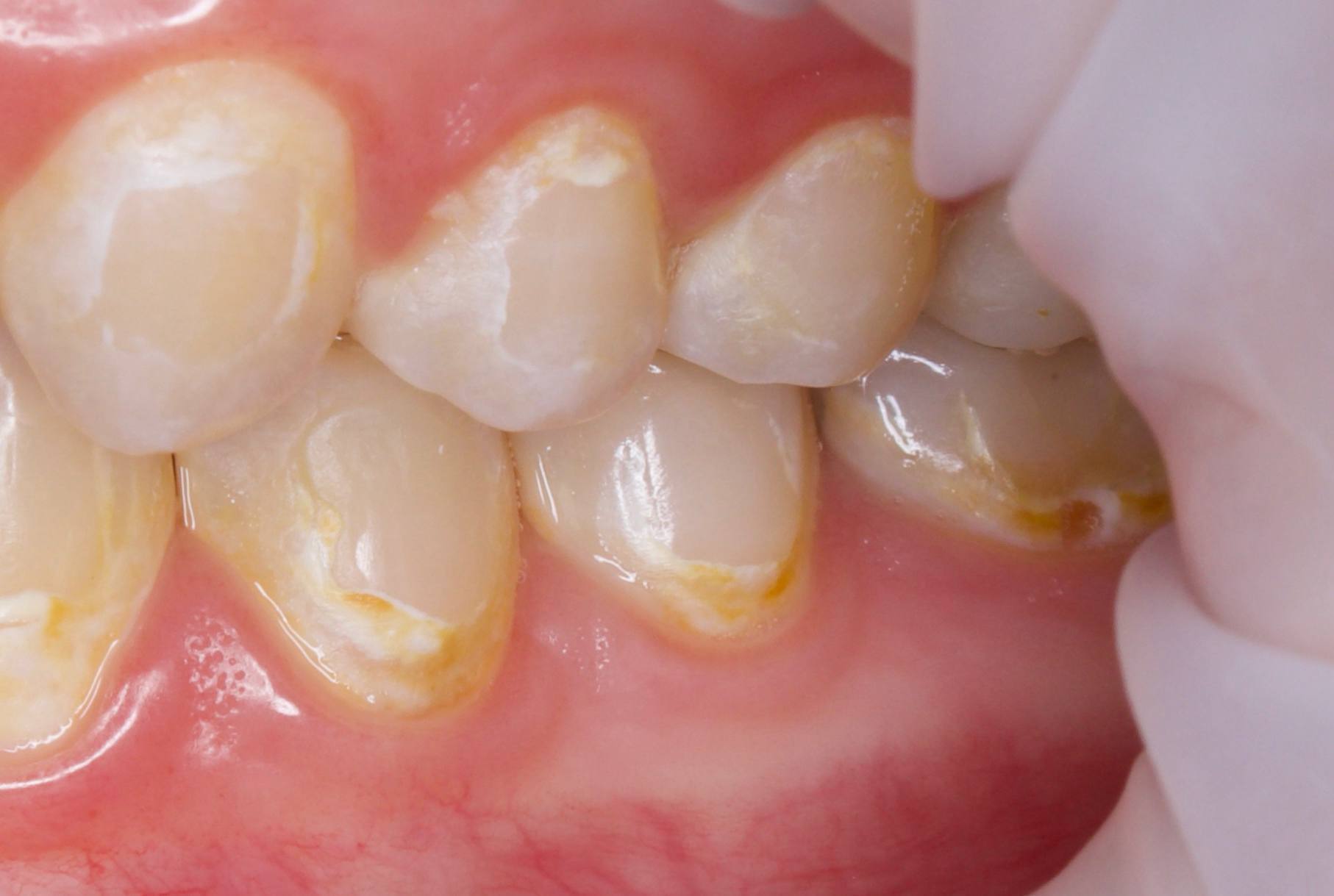
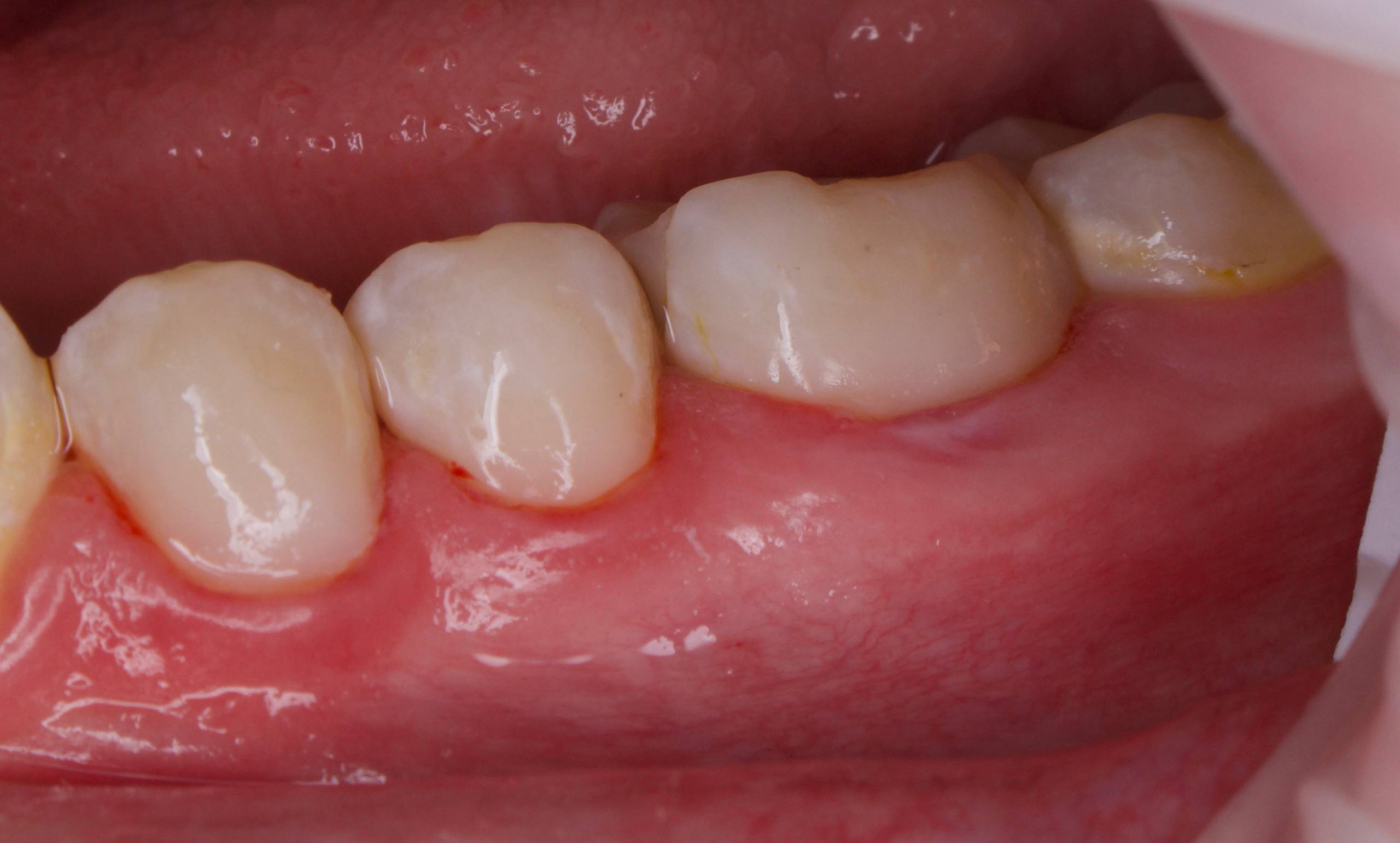
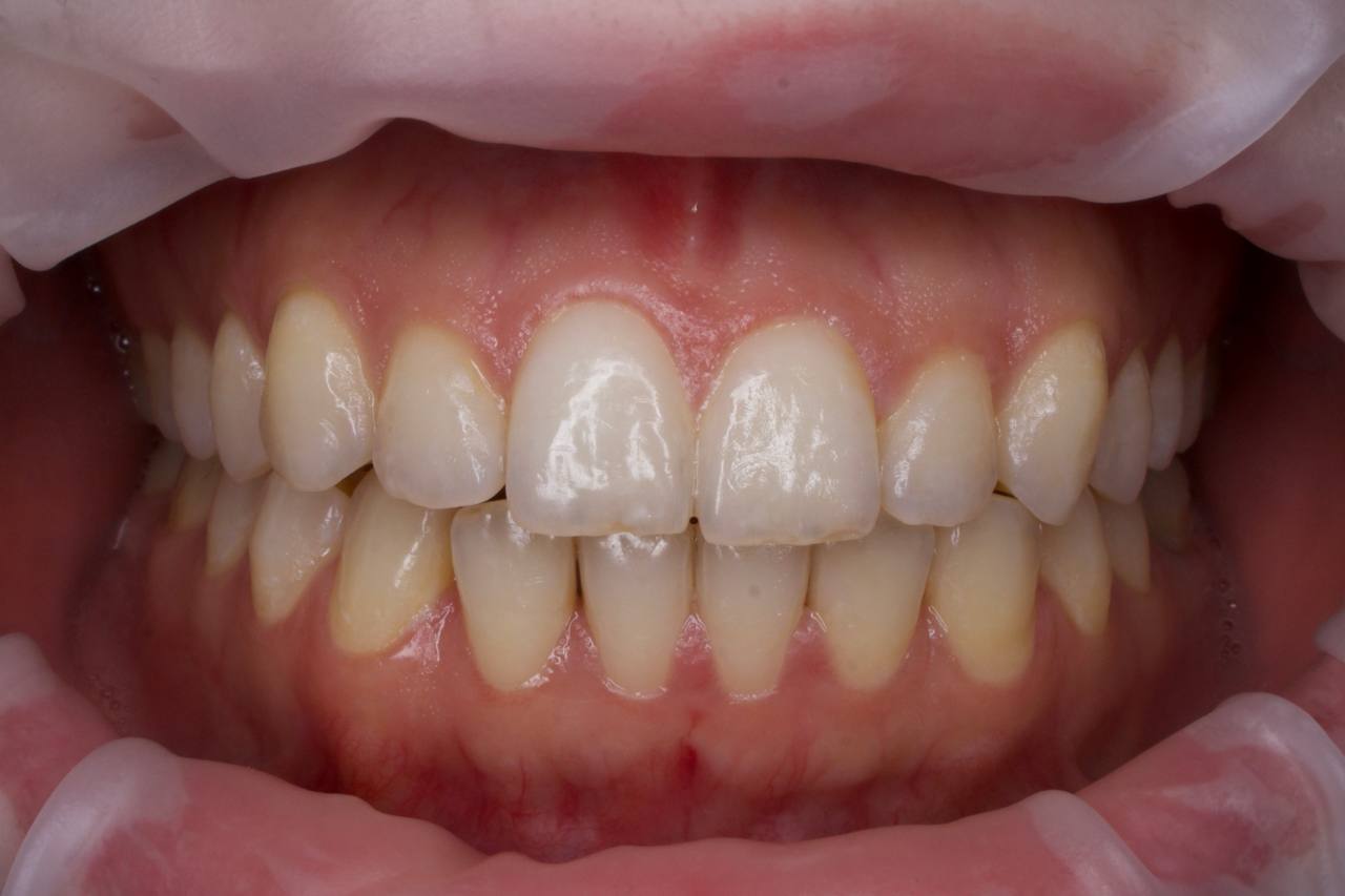
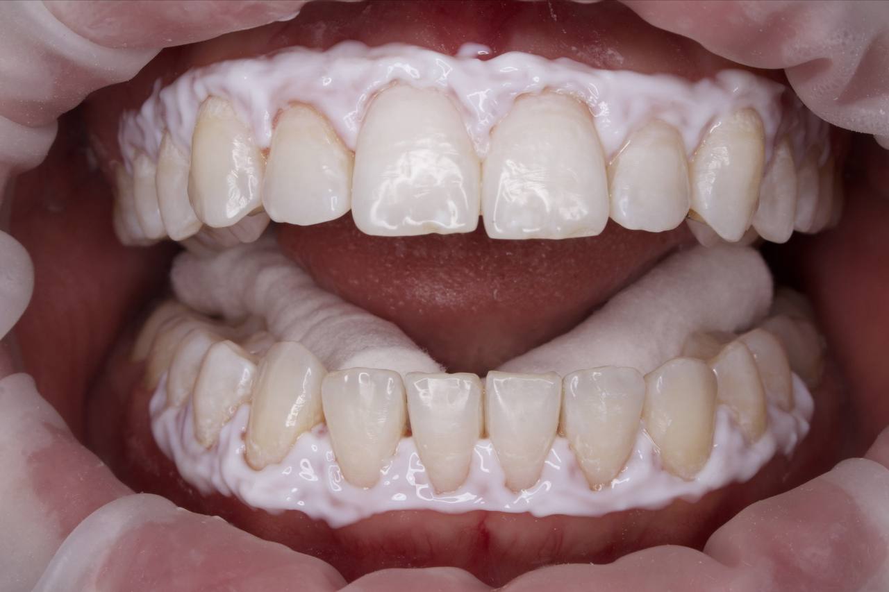
"Обратился с жалобами на камни и плотный налёт. Профгигиена прошла безболезненно и, самое главное, что качество! Приём прошел спокойно, и обо всех действиях врач рассказывал, показал результат до и после на фотографиях и провёл консультации по общему состоянию полости рта. Дополнительно назначил КТ для дальнейшего лечения. Ну и нельзя оставить без внимания обучение домашней гигиене и подбору средств для чистки."
+7 967 97XXXXX
📅 Март 2026
📍 Стоматология «Дентал стори»
★★★★★ 5.0
"Посещаю врача уже во второй раз. Чистка зубов выполнена качественно, безболезненно. Врач отвечает на все интересующие вопросы, дает рекомендации. Доброжелательный, внимательный врач. Рекомендую к посещению."
+7 953 13XXXXX
📅 Февраль 2026
📍 Стоматология «Дентал стори»
★★★★★ 5.0
"Обратилась к врачу по рекомендации друзей, хожу на чистки регулярно. Доктор всё объяснил поэтапно, аккуратно провел манипуляцию. Всё понравилось! Врач вел себя компетентно, улыбался на приеме. Даже настроение поднялось! Особенно понравилась чуткость и объяснения доктора. Результат отличный."
+7 921 03XXXXX
📅 Февраль 2026
📍 Стоматология «Дентал стори»
★★★★★ 5.0
"По рекомендации пришла на профчистку полости рта. Очень внимательный, чуткий и грамотный специалист. На приеме чувствовала себя комфортно, процедурой довольна, врач подробно ответил на все вопросы и дал рекомендации. Спасибо!"
+7 906 52XXXXX
📅 Март 2026
📍 Стоматология «Дентал стори»
★★★★★ 5.0
"Здравствуйте! Обращалась для гигиены, осмотра и возможного отбеливания. Очень порадовало, что весь инструментарий открывался в моем присутствии — встречается крайне редко. Доктор был очень вежлив, объяснял каждый этап, обе процедуры прошли абсолютно безболезненно. В конце дали рекомендации и новую зубную щетку. 🥹 Спасибо доктору и ассистенту! Стерильность, отношение, квалификация — всё на высоте."
+7 995 60XXXXX
📅 Февраль 2026
📍 Стоматология «Дентал стори»
⭐ 5.0
Уже 15+ отзывов на независимом сервисе
Пациенты благодарят за профессионализм, внимательность и отличные результаты.
Читать все отзывы →
📱 Дикиди — независимый сервис отзывов